Inicio
Convenios
Casos Clínicos
Antes y Después
Contactos
Antes y Después
UNA SONRISA SANA ES NUESTRO PRINCIPAL OBJETIVO
Inicio
Antes y Después
Implantes
All On Four
Cirugía
una sonrisa sana.
ANTES
IMPLANTE
DESPUÉS
IMPLANTE
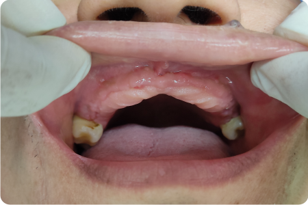
ANTES
ALL ON FOUR
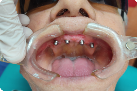
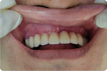
DESPUÉS
ALL ON FOUR
ANTES
IMPLANTE
DESPUÉS
IMPLANTE
Carillas de Porcelana
Coronas de Zirconio
Diseño de Sonrisa
mejoramos tu sonrisa.
ANTES
CARILLAS EN PORCELANA
DESPUÉS
CARILLAS EN PORCELANA
ANTES
CARILLAS EN PORCELANA
DESPUÉS
CARILLAS EN PORCELANA
ANTES
CORONAS EN ZIRCONIO
DESPUÉS
IMPLANTE
Cirugía
Prótesis Temporal
Prótesis Definitiva
recuperamos tu sonrisa.
ANTES
PROTESIS
DESPUÉS
PROTESIS
ANTES
PROTESIS
DESPUÉS
PROTESIS
ANTES
PROTESIS
DESPUÉS
PROTESIS
ANTES
PROTESIS
DESPUÉS
PROTESIS
ANTES
PROTESIS
DESPUÉS
ALL ON FOUR
ANTES
PROTESIS
DESPUÉS
IMPLANTE
IMPLANT DENTAL
ATENCIÓN INMEDIATA
¿Necesitas Información?
¡Escríbenos! nuestro personal esta siempre listo para ayudar
HORARIOS
HORARIOS DE ATENCIÓN
Lunes a Viernes: 09h00 - 13h00 / 14h00 - 19h00
Sábado 08h00 - 14h00
CONTENIDO
Inicio
Convenios
Casos Clínicos
Antes y Después
Contactos
REDES SOCIALES
Inicio
Convenios
Casos Clínicos
Antes y Después
Contactos